
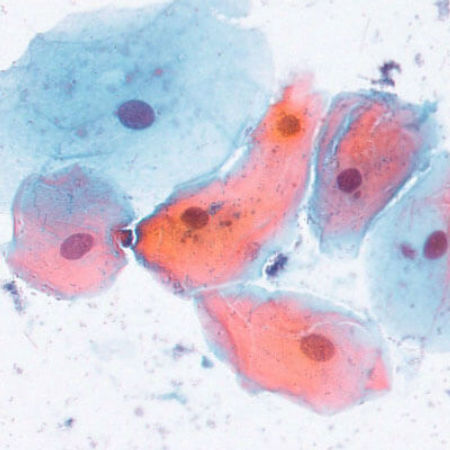
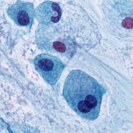
Aerospray Cytology Slide Stainer
To niezawodna technologia barwienia preparatów oraz komfort obsługi.
Gotowe próbki w zaledwie kilka minut.
ZALETY
ZASTOSOWANIE
Odczynniki w formie aerozolu wytwarzanego przez dysze nanoszone są na szkiełka. Barwienie jest szybkie i precyzyjne. Jedynie świeży barwnik ma kontakt z próbką co wyklucza kontaminację i kontakt ze zużytym odczynnikiem.
Podręcznikowa jakość
Aerospray Cytology spełnia potrzeby nowoczesnych laboratoriów